Loading...

インプラント治療

インプラントとは

インプラント(Implant)とは、人体に埋め込む人工物を指します。歯科用インプラントはデンタルインプラントと呼ばれ、顎の骨に埋め込む人工歯根を指し、一般的にインプラントはデンタルインプラントのことを言います。

インプラントは基本的に「人工歯(上部構造)、「インプラント体(フィクスチャー)」、
「アバットメント(連結部分)」の3つからなります。

差し歯治療が、自分の歯根が残っていなければ行えないのに対して、インプラント治療は歯を失ってしまって
歯根が残っていなくても、人工の歯根を作って歯を再建することができます。
インプラントは第二の天然歯と言われることもあるほど、審美性や機能性に優れています。

インプラント・入れ歯・ブリッジの治療方法の違い

義歯治療には、インプラント、入れ歯、ブリッジといった選択肢があります。中でもインプラントは、人工の歯根を顎の骨に埋め込むことで、自然な見た目と噛む力を回復できる治療法です。一方、入れ歯は取り外し可能な義歯で、手軽に利用できますが、噛む力が弱く安定感に欠ける場合があります。ブリッジは両隣の健康な歯を削って固定する方法で、短期間で治療が完了するものの、支えとなる歯に負担がかかるデメリットがあります。それぞれの治療法を比較しつつ、長期的な安定性や自然な使用感を求める方には、インプラントをおすすめしています。

※横にスワイプすると
比較表がご覧頂けます

メリット デメリット
インプラント ・自然な見た目と使用感が得られる
・噛む力が自分の歯に近く、硬いものも噛みやすい
・隣の健康な歯を削る必要がない
・適切なケアを行えば長期間使用可能
・骨に直接埋め込むため噛む力が伝わり、骨が痩せるのを防ぐ
・他の治療法と比べて費用が高い
・手術が必要であり、治療期間が数か月に及ぶことがある
・健康状態や骨の状態によって適応できない場合がある
入れ歯 ・比較的低コストで作製可能
・取り外して手入れができるため衛生的
・歯を多く失った場合にも対応可能
・噛む力が自分の歯よりも弱い
・装着時、食事の際に違和感を感じることがある
・合わないと痛みが生じ、定期的な調整や作り直しが必要
・異物感や安定性の影響で発音が不明瞭になる場合がある
・取り外してのケアが必要
ブリッジ ・短期間で治療が完了する
・見た目が自然で、しっかり噛むことができる
・固定式のため、取り外す手間がない
・健康な隣の歯を削る必要がある
・長期間使用することで支えとなる歯に負担がかかる
・骨の減少を防ぐ効果がない
・清掃が難しく、虫歯や歯周病のリスクが高まる

当院のインプラント治療の流れ

  1. 精密検査と
    治療計画のご相談

    インプラント治療をご希望の場合は、歯や骨の状態を詳しく知るために、まずは精密検査を行います。
    失われた歯の本数・位置を確認するほか、レントゲンや歯科用CTを用いてインプラントを支える骨が十分あるのかどうかを確認します。精密検査の結果を見ながら費用・期間などのご希望を含め、患者様とご一緒に治療計画を考えます。

    インプラント治療の説明図
  2. インプラント治療に
    向けた処置・治療

    精密検査時に、虫歯・歯周病が発見された場合、インプラント手術を受ける前に治療を行います。また精密検査で骨の量が不足しており、骨増殖の治療が必要と判断された場合、このタイミングで骨増殖の治療を行うケースもあります。

    インプラント治療の説明図2
  3.  インプラントの手術

    インプラント手術は大きく2回行われます。1回目はインプラント体となる歯根部分を埋め込む手術です。局所麻酔下で行われるこの手術は、歯肉を切開し、骨を削った後、ガイデッドサージェリーでシミュレーションした正確な位置にインプラントを埋め込みます。

    インプラント治療の説明図3
  4. 治癒期間

    一次手術が完了したら、インプラント体が周囲の骨と結合するのを待ちます。
    これにはおよそ3〜6か月ほど期間がかかります。

    インプラント治療の説明図4
  5. 人工歯の作成・治療完了

    手術の傷が治り、インプラントが安定したところで人工歯を作成し、装着します。人工歯の作成は歯科技工士が行い、より天然歯に近い色や見た目を再現します。また、素材は患者様の希望に合わせて選択していただけます。
    人工歯を取り付けたら、インプラント治療は完了です。

    インプラント治療の説明図5
  6. インプラントのメンテナンス

    しかし、インプラントを長く安全に使用していただくためには、定期的なメンテナンスが大切です。治療が完了しても、しばらくは短いスパンで通院していただき、その後も数か月に1度のペースで定期検診を受診されることをお勧めします。

    インプラント治療の説明図6

当院がインプラント治療で
選ばれる理由

湘南ライフ歯科藤沢では、歯を失った患者様によりよい選択肢をご提案できるように、
専門的な知識を持つ歯科医師が充実した設備を用いたインプラント治療を行なっています。

理由01日本口腔外科学会認定医・日本口腔インプラント学会所属医による専門的治療

当院のインプラント治療は、口腔外科およびインプラント治療において深い知見と豊富な臨床経験を持つ院長が中心となり、診断から手術、そして治療後のメンテナンスまで一貫して質の高い医療をご提供いたします。患者様一人ひとりに寄り添い、最適な治療計画を立案・実行します。

日本口腔インプラント学会所属医の画像 日本口腔インプラント学会所属医の画像

院長 小林 浩

経歴

鶴見大学歯学部 卒業
横浜労災病院歯科口腔外科
研修医
鶴見大学歯学部附属病院 
口腔顎顔面外科学講座 医局員
長野松代総合病院 
歯科口腔外科 医局員
湘南東部総合病院 
歯科口腔外科 医局員
西條歯科医院 勤務医

所属学会 / 認定・資格

日本口腔外科学会
日本口腔インプラント学会
歯学博士(口腔外科学専攻)
日本口腔外科学会認定医
厚生労働省 
歯科医師臨床研修指導医
アメリカ心臓協会(AHA) BLSヘルスプロバイダー

理由02CTによる精密な診査・
診断

歯科用CTの画像

歯科用CT

歯科用CTは、お口周辺を水平・垂直・斜めの3次元から撮影し、立体的に診断することが可能な検査装置です。神経の位置や骨の厚みなども知ることができ、さまざまな治療に役立てられています。

インプラント治療では、顎の骨を立体的にみることで、治療前にインプラント体を埋め込む位置・向きなどをより正確に判断することができます。

理由03ノーベルバイオケアの
ノーベルガイドを採用

ノーベルバイオケアとは

ノーベルバイオケア_ロゴ歯を失った部分に新たに歯を作る試みは紀元2世紀頃から行われていましたが、現在のようなチタンのインプラントが登場したのは、1952年にスウェーデンでブローネマルク博士が骨とチタンが結合する「オッセオインテグレーション」という現象を発見したのがきっかけと言われています。オッセオインテグレーションを発見したブローネマルク博士は、これを歯科に応用できないかと考え、大規模研究の末にスウェーデンの企業とともに「ノーベルファルマ」を設立します。これがノーベルバイオケア社の前身となるのです。その後1965年に世界で初めてチタン製のインプラントが埋入されました。
ノーベルバイオケア社は、現代デンタルインプラントの父と呼ばれるブローネマルク博士とともにインプラントの発展と生活の質の向上に寄与してきた企業です。

ノーベルバイオケアの
インプラント

ノーベルバイオケアのインプラント図プブローネマルク博士の偉業によって、デンタルインプラントが広く知られるようになり、今ではインプラントを扱う企業は100以上あると言われていますが、ノーベルバイオケアは、インプラント治療のパイオニアとして、世界でも大きなシェアを誇っています。
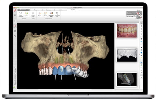
先進的な研究を行うノーベルバイオケアが提供するガイデッドサージェリーシステムが、当院で採用しているノーベルガイドです。

理由04ガイデッドサージェリーを用いた綿密なシミュレーション

ガイデッドサージェリーを用いた綿密なシミュレーション説明図ガイデットサージェリーとは、インプラント治療専用のコンピュータシミュレーションシステムのことです。歯科用CTで撮影した立体画像を元に、3Dで治療のシミュレーションを行うことができます。

このシステムを使用することによって、歯科医師は手術前に患者様のお口の状態に合わせた手術を詳しくイメージすることができるため、より安全・正確な手術を提供することができるのです。

ガイデッドサージェリーと従来のインプラント手術の比較

ガイデッド
サージェ
リー
従来の
インプラント手術
安全性の
確保
治癒時間の短縮
組織損傷の軽減
噛み合わせを考えた
治療計画
手術時間の短縮

ガイデッドサージェリーに
おけるインプラント手術の流れ

サージカルガイドを用いたガイデッドサージェリーの流れをご説明します。詳細な治療計画はお口の中の状況を診察し、患者様ごとにご提案させていただきますので、担当医とご相談ください。

  1. 高精度のCT撮影

    歯科用CTで顎の骨の3次元画像を撮影します。骨の厚みや歯が無い部分の幅、骨の性状などを知ることができます。骨の厚みなどが足りない場合は、骨造成の手術をご提案することがあります。

    高精度のCT撮影説明図
  2. 専用ソフトによる
    シミュレーション

    専用ソフトにCT画像を取り込み、コンピュータ上でシミュレーションを行います。噛み合わせを考えた被せ物の位置から逆算して、インプラント体の向きや太さ、位置を精密に決めていきます。

    専用ソフトによるシミュレーション説明図
  3. サージカルガイドの作製

    シミュレーションを元に、お一人お一人専用のサージカルガイドを作製します。治療計画通りの位置にインプラントを埋入できるよう、計算されて作られています。

    サージカルガイドの説明図
  4. ガイドに沿った
    ドリリング・埋入

    局所麻酔を行い、歯茎を切開した後、サージカルガイドをお口の中に入れ、決められた器具を用いて顎の骨に穴を開けていきます。これをドリリングと言います。設定された器具が決められた深さに到達すると、それ以上は器具が入らないようになっているため、安全に手術を進めることができます。
    サージカルガイドに沿ってインプラントを埋入します。これも決められた位置よりも深くに埋入することはできないように、サージカルガイドでコントロールし、人為的なミスを防ぎます。

    ガイドに沿ったドリリング・埋入の画像
  5. インプラント手術終了

    歯茎を縫合し、手術は終了です。サージカルガイドによる誘導があり、骨を余計に削ったりといったことがないため、痛みも少なく済むことが多いです。この状態でインプラントが骨にくっつくのを待ちます。

    インプラント手術終了の画像

当院が採用するインプラントメーカー

インプラントと一言にいっても、製造しているメーカーによって特徴が異なります。当院では、以下のような種類のメーカーのインプラントを取り揃えており、患者様それぞれのご希望に添ったものを使用しています。

※横にスワイプすると
取り扱い一覧がご覧頂けます

ノーベルバイオケア インプラント

ストローマン インプラント

ジーシー インプラント

インプラントメーカー_ノーベルバイオケアのロゴ インプラントメーカー_ストローマンのロゴ インプラントメーカー_ジーシー のロゴ
世界で最初に埋入されたインプラントを製造し、60年以上の歴史を持つインプラント治療のパイオニアです。 ストローマンは世界ナンバー1のシェアを持つインプラントシステムで、骨との結合が早いことが特徴です。 ジーシーは日本のメーカーで、インプラント体は開発・製造までを一貫して日本国内で行っている安心の国産です。

インプラント治療を安心して
受けていただくための工夫

インプラントの手術時は
リラックス状態を作る静脈内鎮静法を導入

インプラント手術局所麻酔の画像インプラント治療の手術は局所麻酔下で行われます。局所麻酔が効いている間は痛みを生じることはありませんが、意識はしっかりとした状態なので、手術時に不安感、緊張感を覚える患者様もいます。

患者様の不安や緊張を取り除くため、当院では腕の点滴から鎮静剤を注入する静脈内鎮静法を導入して手術に当たっています。静脈内鎮静法を使用すると、全身麻酔のように完全に意識を失うことはありませんが、数分で薬の効果が現れ、不安や緊張がなくぼんやりとした状態になったり、患者様によってはうとうとして眠りにつく方もいます。

鎮静剤の効果は術後1時間程度で切れますが、ふらつきやぼんやりとした意識が数時間残ることもあるため、当日の車・バイクなどの運転は控えるようにしましょう。

インプラントのメンテナンスを重要視

インプラントのメンテナンス画像せっかく入れたインプラント体を長く安全に使用し続けるためには、治療後のメンテナンスが欠かせません。日々のブラッシングや定期検診を怠ると、インプラントの周辺に汚れが溜まってインプラント周囲炎を引き起こす可能性もあります。

インプラントは天然の歯と同様にブラッシングや歯間清掃が必要です。また、一年に一回歯科医院で人工歯(上部構造)を外して検診を受けることで、インプラント体や骨や歯周組織にトラブルが出ていないか分かり再治療やインプラント周囲炎になるのを予防し長期間快適に使用できます。当院では、インプラント治療後のブラッシング指導や定期検診などのアフターケアも行なっています。

インプラント治療で骨の量
が足りない場合の骨増殖

GBR(骨誘導再生)

GBR(骨誘導再生)の画像 GBRとは、骨の少ない部分に人工骨や移植用の骨を注入し、その上からメンブレンという人工膜を覆い被せることで骨の再生を促す治療です。GBRをインプラントのために行う場合、インプラントの手術を行う前に治療をスタートする場合と、同時にインプラント体を埋め込む場合があります。

処置代 66,000円
人工骨 バイオス
(ガイストリッヒ社)
人工膜 バイオガイド
※材料費は人工骨、人工膜の使用量、サイズによって異なります

サイナスリフト

サイナスリフト説明図 サイナスリフトとは上顎の歯肉をめくり、粘膜を持ち上げて人工骨を入れ、骨の再生を行う治療です。
インプラント治療を行う前に手術を行う必要があり、骨ができるまでに半年ほど時間がかかります。

処置代 330,000円〜

ソケットリフト

ソケットリフト説明図 ソケットリフトとは、専用の器具で上顎を押し上げ、人工骨と一緒にインプラントの土台を埋め込む治療です。
人工骨は4~5か月かけて徐々に自分の骨になって行きます。

処置代 55,000円〜
※口腔状況によって変動します

インプラント治療の注意点

全身疾患や持病、金属アレルギーをお持ちの方

全身疾患や持病、金属アレルギーをお持ちの方は、薬物療法の調整や免疫状態の確認が必要なことから、治療前には医師との相談が必須です。
患者個別の健康状態に基づき、安全かつ適切な治療計画を立てるために、事前に詳細なカウンセリングが必要となります。

お酒やタバコについて

お酒やタバコに関しては、施術前はお控えください。特に喫煙につきましては、タバコの成分により血管収縮が引き起こされ、歯茎周囲の血行が悪化し、治癒が遅れる可能性があります。施術の効果にも影響が出る可能性がございますので、施術前はもちろん、施術後もお控えください。

歯周病菌への感染

埋め込まれたインプラントは虫歯になることはありませんが、周囲の歯肉は天然の歯と同じく歯周病菌に感染する可能性があります。これを「インプラント周囲炎」と呼びます。不十分な歯磨きや施術後のケア不足が原因で引き起こる症状ですので、しっかりとした口腔内ケアと適切なメンテナンスが必要です。ケア方法に関しては施術時にお伝えいたしますので、ご安心ください。

インプラントの治療費

埋入手術、補綴処置の説明図 埋入手術、補綴処置インプラントを埋め込み、人工の歯を装着します。 お見積もり
CT撮影装置の画像 CT撮影立体的な画像診断が可能になることで、顎や歯の状態だけでなく、歯周病の原因となっている病巣から周辺の粘膜の様子まで、より詳細に確認することができます。 11,000円
エムドゲインの画像 エムドゲイン「エムドゲイン・ジェル」を歯の根の表面に塗ることで歯周病で、溶けてしまった顎の骨や歯の周りの組織を再生させます。 88,000円
ソケット
プリザベーション
抜歯の後は顎の骨が自然と痩せて薄くなってしまいます。それを防ぐために、開いた穴に人工骨などを入れます。
55,000円
※口腔状況によって
変動します
ソケットリフト上顎の奥歯の上の骨が薄い場合、人工の骨を入れて補う方法です。 処置代 55,000円〜
※口腔状況によって
変動します
サイナスリフト上顎の奥歯の上の骨が薄く、ソケットリフトでは対応できない場合に行います。
(骨の厚みが3~5mmよりさらに少ないときや、多数の歯が欠損しているとき)
処置代 330,000円〜
GBR(骨造成)痩せてしまい、骨の厚みが足りない部分に対して、骨と同様の成分でできた材料と特殊な膜を留置して骨を作る治療法です。 処置代 66,000円
人工骨 バイオス
(ガイストリッヒ社)
人工膜 バイオガイド
※材料費は人工骨、人工膜の使用量、サイズによって異なります
クラウンレングスむし歯が進み、歯肉の外の歯がほとんどなくなってしまった際に、歯肉を少し下げて歯肉の下の根を露出させることで、抜歯せずに治療を行います。 55,000円
ノーベルバイオケア 440,000円/1歯
(分析費33,000円+ステント代77,000円の計110,000円が追加となる場合がございます。)
ストローマン 440,000円/1歯
ジーシー 385,000円/1歯

※主なリスク・副作用

  • 個人差がありますが、手術後の腫れや痛みを伴うことがあります。
    (一時的なもので、多くの場合2~3日で治まります。)
  • 骨造成治療後、骨がしっかりと作られるまで3~6ヶ月間の治癒期間が必要です。
  • 免疫力や抵抗力が低下している方、歯周病の発生リスクの高いとされる糖尿病の方、口腔内の衛生状態の悪い方や、あごの骨が足りない方、喫煙者の方は、骨造成治療がすぐにできない事があります。

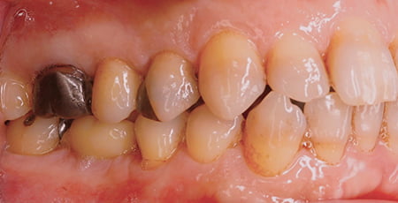
インプラントの施術事例

  • インプラント治療前の状態の画像
  • インプラント治療後の状態の画像
治療内容 インプラント
年齢 60代男性
お悩み 噛みにくさ、入れ歯の煩わしさ
治療期間 7ヵ月
リスク・副作用 インプラント手術直後は、違和感・痛み・腫れ・出血などが発生する場合があります。
治療費用 インプラント1本(上部構造込) 451,000円
担当医 小林 浩

インプラント治療に関する
よくあるご質問
Q&A

  • 基本的には健康な方であれば治療可能ですが、骨の量や全身の健康状態によっては治療が難しい場合もあります。骨が少ない方でも、骨移植などの処置を行うことで治療が可能になる場合がありますので、まずはご相談ください。

  • 適切なメンテナンスと定期検診を受けていただければ、10年以上、場合によってはそれ以上の長期間にわたって使用することが可能です。セルフケアと歯科でのケアが成功の鍵です。

  • 治療期間は個人の状態によりますが、一般的には3~6か月ほどかかることが多いです。骨との結合期間が必要なため、期間に余裕を持って計画を立てることをおすすめします。

  • 手術中は麻酔を使用するため痛みを感じることはありません。術後は腫れや軽い痛みが出ることがありますが、痛み止めの処方などで対処が可能です。不安な点はお気軽にご相談ください。

  • インプラント治療は、基本的に顎の骨の成長が完了した20歳前後以降の方が対象となります。上限年齢は特にありませんが、高齢の方の場合でも全身の健康状態や骨の量が十分であれば治療が可能です。一方で、持病や薬の影響で治療が難しい場合もあるため、詳細は診察時にご相談ください。

  • インプラントは天然の歯と同様にブラッシングや歯間清掃が必要です。また、一年に一回歯科医院で人工歯(上部構造)を外して検診を受けることで、インプラント体や骨や歯周組織にトラブルが出ていないか分かり再治療やインプラント周囲炎になるのを予防し長期間快適に使用できます。

  • 一時的に歯がない期間がありますが、仮歯を装着することで、見た目や機能を一時的に補うことが可能です。ご希望に応じて対応いたしますのでご相談ください。

  • 手術直後は刺激の少ない柔らかい食事をおすすめします。数日経てば通常の食事が可能になりますが、詳しいタイミングは担当医の指示に従ってください。

  • それぞれに特徴があり、選ぶポイントは患者さまのご希望や口腔の状態によって異なります。インプラントは自然な見た目と噛む力を取り戻せる点で優れており、長期的に安定した使用が可能です。入れ歯は低コストで対応でき、取り外しが可能な点がメリットですが、噛む力や安定感はやや劣ります。ブリッジは比較的短期間で治療が完了しますが、隣の健康な歯を削る必要があるため、負担がかかります。最適な治療法は診察のうえでご提案しますので、まずはご相談ください。

  • 正確な診断と手術を行うことで、歯ぐきから見えるリスクは低くなります。ただし、骨や歯ぐきの状態によって個人差がありますので、事前にしっかりとご説明します。

  • インプラント治療は、より自然な見た目や機能回復も目的とするため、健康保険が適用されない自由診療が基本です。ごく一部の特殊な症例を除き、保険診療は難しいとお考えください。費用や治療計画についてご不明な点は、カウンセリング時にお気軽にご相談ください。

  • インプラント治療の費用は医療費控除の対象となります。ご自身やご家族の年間医療費が一定額を超えた場合、確定申告により税金の還付が見込めます。治療費の領収書を大切に保管し、詳細は税務署や税理士にご確認ください。当院でも領収書を発行します。

  • まず医師の指示を守ることが最も大切です。手術前は十分な睡眠と禁煙で体調を整え、お口も清潔に。術後の食事や安静にできる環境を事前に整えておくと安心です。ご不明な点や不安なことは遠慮なく事前に質問し、リラックスして手術に臨みましょう。

湘南ライフ歯科藤沢は、藤沢駅南口(鵠沼東)から徒歩3分のアクセス良好な歯科医院です。

24時間受付のネット予約制を導入しており、どんなお口の悩みもご相談いただけます。
急患対応も行っており、急なトラブルにも適切な治療を提供可能です。

診療メニューには、虫歯治療歯周病治療インプラント治療詰め物・被せ物入れ歯治療口腔外科予防歯科
メタルフリー治療、ホワイトニングなどがあります。

丁寧なカウンセリングを行い、保険診療から自由診療まで幅広く対応。
プライバシーや感染症対策を施した個室・半個室診療を提供し、安全で安心な治療を心掛けています。

藤沢周辺で歯医者をお探しの方は、ぜひお気軽にお問い合わせください。

お問合せ Contact

ご予約・お問合せはこちらまでお気軽に

  • 0466-53-8417