Loading...

スタッフブログ Blog

スタッフブログ一覧

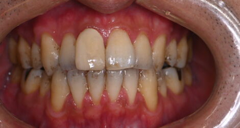
歯周病で歯が2本抜歯➡︎骨造成をしてImplant

歯科衛生士の八重樫です! 今回は歯周病にて歯が抜歯となってしまい骨造成をしてImplantを入れたケースのご紹介です?   もともと他院でずっと歯周治療をしていましたが、揺れもありなかなか治らずセカンドオピニオンが希望で来院されました レントゲンを確認したところ、重度の歯周病に罹患していて歯が保存できるような状態ではありませんで …

詳しくはこちら

MTAセメントで歯の神経を残す?

みなさんこんにちは!歯科衛生士の高橋です? 今回はMTA治療の一例をご紹介します! 銀歯の縁に小さい穴が空いていて、虫歯になっていました? 外すと元々の虫歯が深く、セメントで覆われていたその下にも虫歯ができていました? 削っていくと神経とほぼ接する所まで深い虫歯だったため、神経を保存するためにMTA治療を行いました。 健康な神経反応があ …

詳しくはこちら

こんにちは!櫻井です? 今回は過去にメタルの詰め物をして、中が虫歯になってしまった症例のご紹介です。 https://youtu.be/7iRoYKenbMo?si=MLhDE0_tyE-9h-fr メタルは時間とともに歪んで歯にフィットしなくなってきます。 隙間から菌が入って虫歯になることは珍しくありません。 神経が生きているうちに保 …

詳しくはこちら

〜フルジルコニアクラウン完成〜

湘南ライフ歯科の山ノ内です 今回は前回紹介したMTA処置を行った患者様がフルジルコニアクラウンを被せたので一連の流れをご紹介します。 担当医:Dr小林 治療費用:MTA¥55,000 フルジルコニアクラウン¥110,000

詳しくはこちら

削らずに虫歯の状態を調べる方法

こんにちは! 歯科衛生士の吉村です?⛄   今回はダイアグノデントペンで経過を追っていた患者様の症例をご紹介致します。 この患者さんは、そのまま虫歯治療をするとしみる症状がでたり、神経が出てきてしまう可能性が高かった為神経保護をしたうえで治療を行っていきます。 【治療動画】 https://y …

詳しくはこちら

奥歯の虫歯治療【MTAとフルジルコニア】

歯科衛生士の八重樫です! 今回は奥歯の虫歯治療をしたケースのご紹介です?   右上の歯は詰め物が取れてしまいその下で虫歯、右下は隣接面と歯茎部からの2本が虫歯で合計3本の治療を行いました 全て神経が生きている歯だったため【MTAセメント】で歯髄保護を行い【フルジルコニア】で補綴処置となりました 右下の歯(第二小臼歯)は手前 …

詳しくはこちら

銀歯が外れたら中が虫歯に…

みなさんこんにちは!歯科衛生士の高橋です? 今回はクリーニング中にフロスを通したら銀歯がポロッと取れてしまった患者様の症例です。 外れた箇所を見ると、中に汚れが詰まっていて虫歯になっていました? 神経が無い歯なのでしみるといった症状はありませんでしたが、残っている歯が薄くなっていたため、土台を立てて歯全体を覆うクラウンタイプで処置をすることにな …

詳しくはこちら

サイナスリフトを行いImplant Br.

歯科衛生士の八重樫です! 今回は左上臼歯部にサイナスリフトを行いImplantを埋入しImplant Br.を入れたケースのご紹介です?   もともと左上の被せ物が取れてしまい来院されました 取れてしまったのは小臼歯、その奥2本の大臼歯は根尖性歯周炎があり、分析を行なった結果、歯を保存しての治療は難しく抜歯となってしまいました …

詳しくはこちら

神経保護処置?

みなさんこんにちは、歯科衛生士の舘山です? 今回は右上7、MTAセメントの紹介になります。 痛みがなく、症状もなく、大きく虫歯になっていました? 【処置前】 【処置動画】 https://youtu.be/gi7KGqB-ijA 【治療金額】 ¥55,000/1回 ※別途補綴代がかかります 【担当医】 DR北野

詳しくはこちら

バイオフィルムと歯周病菌の除去

こんにちは! 歯科衛生士の吉村です?⛄ 今回は、清掃不良の患者様へバイオフィルムと歯周病菌を除去する為に、行ったパウダーフローとレーザー治療についてご説明します。 この細菌たちが作り出すのが。。。 バイオフィルムを除去できるのは? [video width="1920" height="1080" mp4="https://www.sh …

詳しくはこちら

1 / 101 ページ23101

湘南ライフ歯科藤沢は、藤沢駅南口(鵠沼東)から徒歩3分のアクセス良好な歯科医院です。

24時間受付のネット予約制を導入しており、どんなお口の悩みもご相談いただけます。
急患対応も行っており、急なトラブルにも適切な治療を提供可能です。

診療メニューには、虫歯治療歯周病治療インプラント治療詰め物・被せ物入れ歯治療口腔外科予防歯科
メタルフリー治療、ホワイトニングなどがあります。

丁寧なカウンセリングを行い、保険診療から自由診療まで幅広く対応。
プライバシーや感染症対策を施した個室・半個室診療を提供し、安全で安心な治療を心掛けています。

藤沢周辺で歯医者をお探しの方は、ぜひお気軽にお問い合わせください。

お問合せ Contact

ご予約・お問合せはこちらまでお気軽に

  • 0466-53-8417