スタッフブログ一覧
ファイバーコア①
こんにちは歯科助手の毛利です!
今回はファイバーコアの症例をご紹介します🦷
根管治療を行なった場合、根管に最終的な薬を入れた後
金属の土台を入れます。
しかし金属は、歯よりも硬いので長期間使用すると根管が割れてしまう
リスクがかなり高いです。
ファイバーコアはガラス性 …
└6インレー除去→う蝕除去→MTA→フルジルコニアクラウン
TC前田です🐰💕
今回は左上の6番を【インレー除去→う蝕除去→MTA→フルジルコニアクラウン】で修復された患者様の症例をご紹介致します🦷
(関連記事)
MTAセメント | 湘南ライフ歯科|藤沢駅南口(鵠沼東)徒歩3分の歯医者さん
MTAセメント | 湘南ライフ歯科|藤沢駅南口(鵠沼東)徒歩3分の歯医者さん
フルジルコニア | 湘 …
5┘う蝕除去→MTA→フルジルコニアクラウン
TC前田です🐰💕
今回は右上の5番を【う蝕除去→MTA→フルジルコニアクラウン】で修復された患者様の症例をご紹介致します🦷
(関連記事)
MTAセメント | 湘南ライフ歯科|藤沢駅南口(鵠沼東)徒歩3分の歯医者さん
MTAセメント | 湘南ライフ歯科|藤沢駅南口(鵠沼東)徒歩3分の歯医者さん
フルジルコニア | 湘南ライフ歯科| …
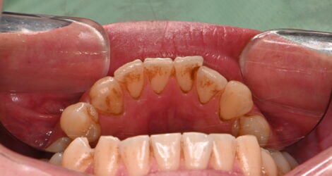
PMTC⑤
こんにちは。歯科衛生士の舘山です。
今回は着色をキレイに取って欲しい患者様にPMTCを行った症例を紹介したいと思います❗️
久しぶりの歯医者で着色が気になるとの事だったので60分の保険外クリーニングのPMTCをさせて頂きました。
(関連記事)PMTCとは・・・ | 湘南ライフ歯科|藤沢駅南口(鵠沼東)徒歩3分の歯医者さん
術前↓
…
ジルコニアセラミッククラウン
歯科衛生士の八重樫です!
今回は前歯4本をジルコニアセラミッククラウンで治療したケースのご紹介です
クリーニング後の全体チェックの際に、前歯に虫歯と前に詰めたプラスチックの劣化があったため治療法をご説明し処置を行うこととなりました
処置前のお写真です
この患者さまは以前矯正治療をされていたため側 …
E-Max アンレー
歯科衛生士の八重樫です!
今回は左上の奥歯にE-Maxの詰め物をした症例のご紹介です
虫歯が少し大きかったので最初はCR築造をしてE-Maxの詰め物を作製、SETしました
ですが、冷たいものや温かいものがしみる症状が続いたため、1度外してMTAを行い再度形を削りなおして作製し直しました
(関連記事)
…
ジルコニアセラミッククラウン
歯科衛生士の八重樫です!
今回は上の前歯5本をジルコニアセラミッククラウンで治した症例のご紹介です
クリーニング後のチェックの際に前歯4本に虫歯が見つかりました
前歯は他にも重なっているところや歯並びも気になるとのことで、『矯正治療』と『被せ物での歯列修正』の2種類の治療方法をご説明させていただき、今回は『被せ物での修復』が …
PMTC④
こんにちは!歯科衛生士の林です🦷
PMTCをされた患者様をご紹介します!
(関連記事)PMTCとは・・・ | 湘南ライフ歯科|藤沢駅南口(鵠沼東)徒歩3分の歯医者さん
数年ぶりの歯医者だったそうでかなりステインと歯石が付着していました💦
60分のクリーニングを終えてここまで綺麗になりました⭐️
ステイン除去するだけでもかなり印象 …
オールセラミックインレー
こんにちは、歯科衛生士の吉村です!
今回はオールセラミックで治療された方の症例をご紹介いたします。
この方は20代女性の方で初診時は親知らずの抜歯をご希望で来院されました。その際にお口の中を確認させて頂いた際に虫歯があり抜歯後に虫歯の処置しました。
一か所だけ虫歯が大きくプラスチックに似たレジンでの処置が出来ないので被せる形になりました。
治療の …
