Loading...

スタッフブログ Blog

スタッフブログ一覧

銀歯が外れたら中が虫歯に…

みなさんこんにちは!歯科衛生士の高橋です🦄 今回はクリーニング中にフロスを通したら銀歯がポロッと取れてしまった患者様の症例です。 外れた箇所を見ると、中に汚れが詰まっていて虫歯になっていました💦 神経が無い歯なのでしみるといった症状はありませんでしたが、残っている歯が薄くなっていたため、土台を立てて歯全体を覆うクラウンタイプで処置をすることにな …

詳しくはこちら

フロスが引っかかる…

みなさんこんにちは!歯科衛生士の高橋です🦄 「フロスを通すと引っかかってボソボソする」そんな経験ありませんか? もしかしたらそれは虫歯になってるからかもしれません😱 古い詰め物が歯と歯の間にあり、フロスを通すと引っかかって気になるとのことで、詰め物を削ったら中が虫歯になっていました💦(ピンク色に染まっている所が虫歯です😈) 虫歯を取っていくと …

詳しくはこちら

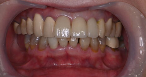
歯を白くしたい🦷✨️

みなさんこんにちは😊 歯科衛生士の高橋です🌼 年齢を重ねるごとに歯の黄ばみが気になり、今回初めてホワイトニングをされた患者様の症例です。 上の前歯に大きな詰め物が入っていて、そこの変色も気になりますが、確かに全体的に歯が黄ばんでいます。 シェードガイドをあわせると、A3.5〜A4の色味でした。 ホワイトニングのご説明をして、まず …

詳しくはこちら

細かい着色を徹底除去!

みなさんこんにちは!歯科衛生士の高橋です! 今回は全体的に着色が気になる方の症例です。 他の歯医者さんで以前からエアフローで着色を除去されてきた患者様ですが、前回してから半年期間が空いてしまったら再度着色が目立つようになったのこと💦 拝見すると、全体的に茶色い着色が付いていました😣 細かい着色をエアフローでしっかり除去して、仕上げ …

詳しくはこちら

磨きにくい箇所もスッキリきれいに!

みなさんこんにちは!歯科衛生士の高橋です😊 歯磨きの力加減や歯ぎしり・食いしばりのせいで歯の根本がえぐれていませんか? 汚れが溜まりやすいからといって歯ブラシを当てすぎると、さらにえぐれてしまう難しい箇所💦 この患者様もきれいに見えますが、染めだすとやはり歯の根本に汚れが残っています😱 そんな時はエアフローがおすすめです! エアフロ …

詳しくはこちら

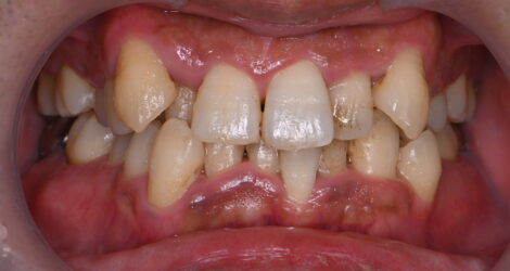
細かい汚れを徹底的にきれいに

みなさんこんにちは!歯科衛生士の高橋です! 普段綺麗にお手入れされている方でも、磨き残しがあり被せ物の縁などについて汚れを徹底的に除去して綺麗にした症例です。   綺麗に磨けてるように見えますが、プラークに反応する染め出し剤を塗ったところ歯と歯の間が染まって汚れが残っていることがわかります。 また右上にインプラントが入 …

詳しくはこちら

べったりついたヤニを取り除く

みなさんこんにちは!歯科衛生士の高橋です。 今回はべったりと歯についてしまったヤニをエアフローで除去した症例です。   エアフロー自体は6年ほど前に他院でやられたことがあるとのことですが、再度ヤニが歯と歯の間や裏側にべったりついていました。 かなり分厚く付いていたため、粗めのパウダーで除去した後に柔らかいパウダーとポリッシング …

詳しくはこちら

インプラントのネジ周りの汚れがすっきり綺麗に✨

みなさんこんにちは!歯科衛生士の高橋です! 今回はご自身ではかなり磨きにくいインプラントのネジ部分にエアフローを当てて綺麗に汚れを除去した症例です。 ご高齢のためご自身でのブラッシングもなかなか難しいため、インプラント周りにかなり汚れがついていました。 汚れに反応して色がつく染め出しをすると青紫色になりました。 青紫色だと汚れがついてから …

詳しくはこちら

ホームホワイトニングで徐々に歯を白く✨

みなさんこんにちは!歯科衛生士の高橋です。 初めてホワイトニングをされる患者様が自宅で行うホームホワイトングをされました。 まずは患者様専用のマウスピースを作成し、ホームホワイトニングのキットをお渡ししたら、後はご自身で毎日2時間、2週間かけて歯を白くしていきます。 当院はTionホームプラチナを使用しています。 2週間連続と思うと長くて大変と思 …

詳しくはこちら

黄ばみがなくなり自然な白さに✨

みなさんこんにちは! 歯科衛生士の高橋です😊   今回は「黄ばみが気になるのでホワイトニングしたい」という患者様の症例です。   ホワイトニングは初めてで、やるからには白さを持続させたいとのことで、一番効果が出て白さを持続できる『オフィス+ホームホワイトニング』を選択されました。 (デュアルホワイトニングとも言 …

詳しくはこちら

1 / 5 ページ235

湘南ライフ歯科藤沢は、藤沢駅南口(鵠沼東)から徒歩3分のアクセス良好な歯科医院です。

24時間受付のネット予約制を導入しており、どんなお口の悩みもご相談いただけます。
急患対応も行っており、急なトラブルにも適切な治療を提供可能です。

診療メニューには、虫歯治療歯周病治療インプラント治療詰め物・被せ物入れ歯治療口腔外科予防歯科
メタルフリー治療、ホワイトニングなどがあります。

丁寧なカウンセリングを行い、保険診療から自由診療まで幅広く対応。
プライバシーや感染症対策を施した個室・半個室診療を提供し、安全で安心な治療を心掛けています。

藤沢周辺で歯医者をお探しの方は、ぜひお気軽にお問い合わせください。

お問合せ Contact

ご予約・お問合せはこちらまでお気軽に

  • 0466-53-8417