Loading...

スタッフブログ Blog

磨きにくい箇所もスッキリきれいに!

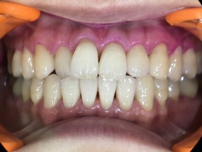
みなさんこんにちは!歯科衛生士の高橋です😊

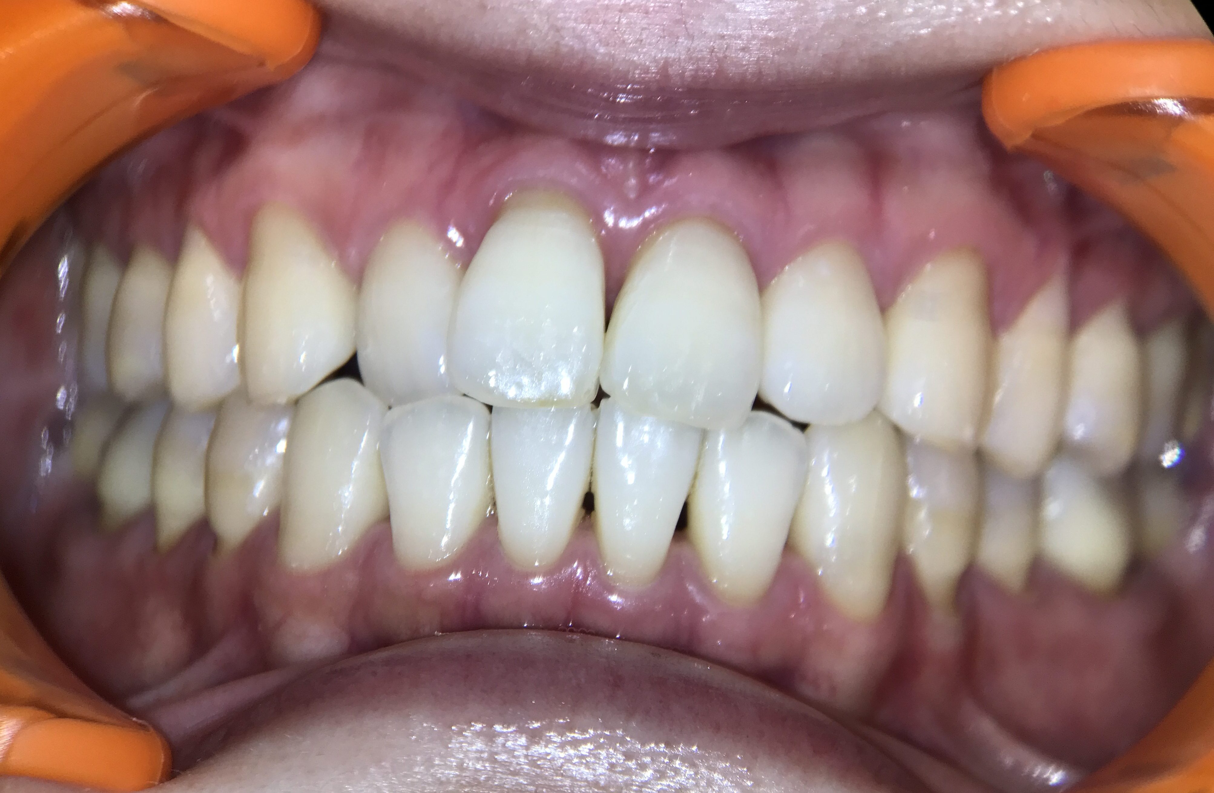
歯磨きの力加減や歯ぎしり・食いしばりのせいで歯の根本がえぐれていませんか?
汚れが溜まりやすいからといって歯ブラシを当てすぎると、さらにえぐれてしまう難しい箇所💦

この患者様もきれいに見えますが、染めだすとやはり歯の根本に汚れが残っています😱

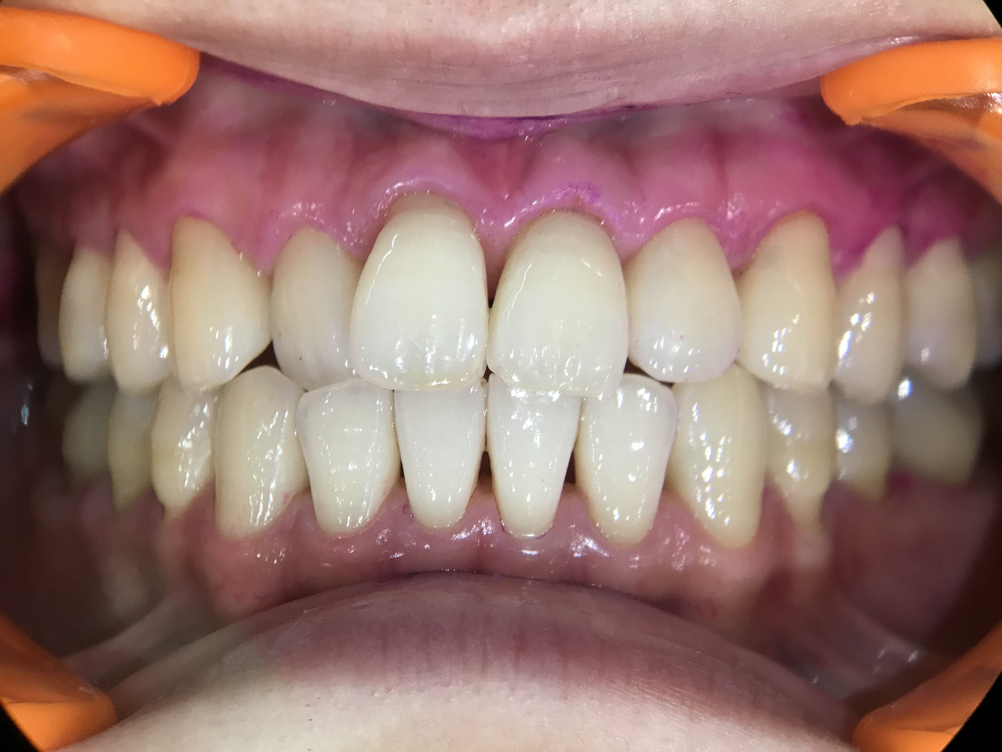
そんな時はエアフローがおすすめです!
エアフローは粉と水と空気の力で汚れを除去する+器具が歯に直接触れないため、歯を傷付けずに済みます!

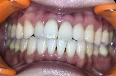
エアフロー後はツルツルになりさらに輝きが増しました✨

ご自身では取り切れない汚れ、エアフローで除去して虫歯と歯周病を予防していきましょう!

○処置内容…歯科衛生士処置30分(エアフロー)
○費用…¥6,600
○担当…DH高橋

湘南ライフ歯科藤沢は、藤沢駅南口(鵠沼東)から徒歩3分のアクセス良好な歯科医院です。

24時間受付のネット予約制を導入しており、どんなお口の悩みもご相談いただけます。
急患対応も行っており、急なトラブルにも適切な治療を提供可能です。

診療メニューには、虫歯治療歯周病治療インプラント治療詰め物・被せ物入れ歯治療口腔外科予防歯科
メタルフリー治療、ホワイトニングなどがあります。

丁寧なカウンセリングを行い、保険診療から自由診療まで幅広く対応。
プライバシーや感染症対策を施した個室・半個室診療を提供し、安全で安心な治療を心掛けています。

藤沢周辺で歯医者をお探しの方は、ぜひお気軽にお問い合わせください。

お問合せ Contact

ご予約・お問合せはこちらまでお気軽に

  • 0466-53-8417