銀歯が外れたら中が虫歯に…
みなさんこんにちは!歯科衛生士の高橋です?
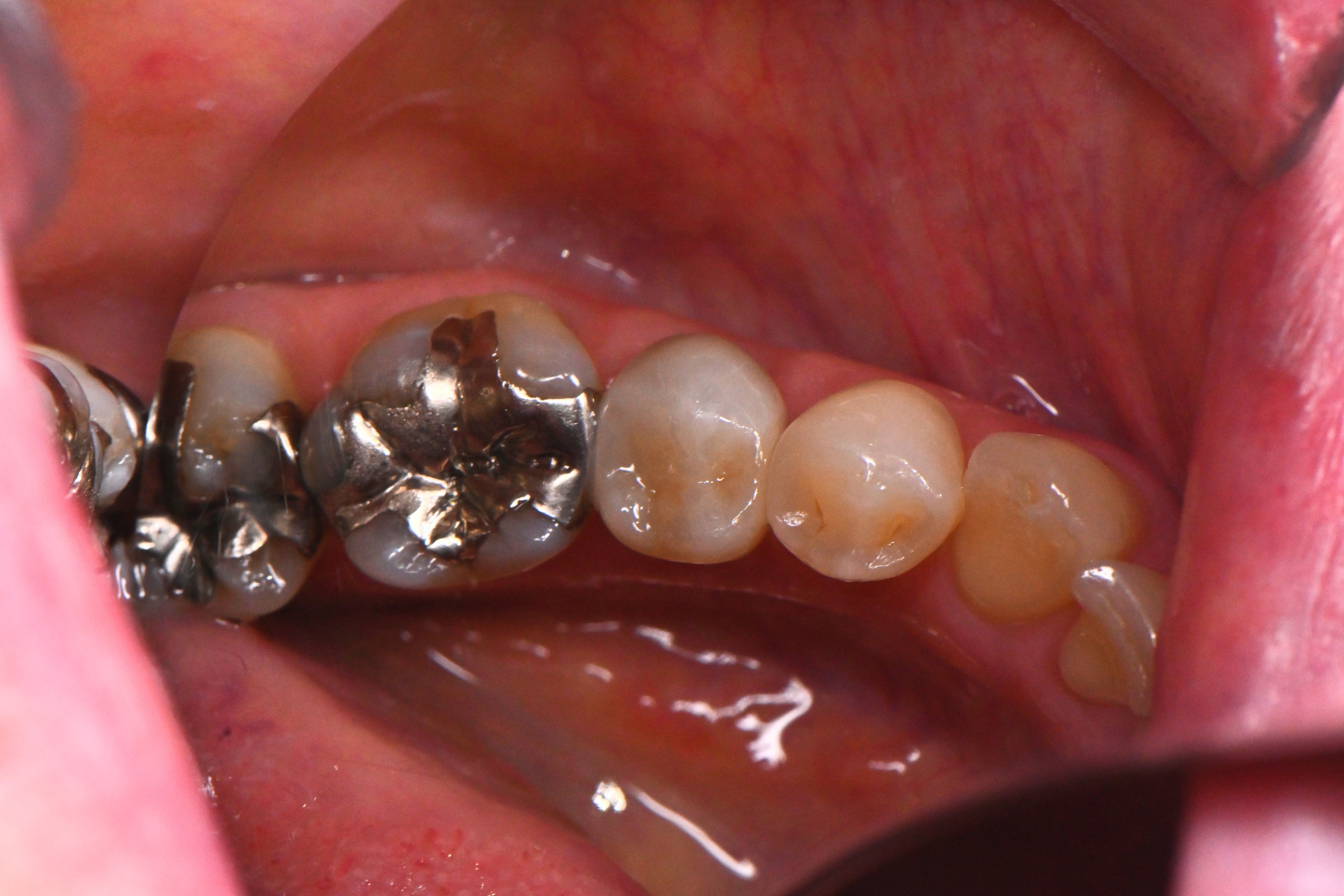
今回はクリーニング中にフロスを通したら銀歯がポロッと取れてしまった患者様の症例です。
外れた箇所を見ると、中に汚れが詰まっていて虫歯になっていました?

神経が無い歯なのでしみるといった症状はありませんでしたが、残っている歯が薄くなっていたため、土台を立てて歯全体を覆うクラウンタイプで処置をすることになりました。
土台は金属にしてしまうと、しなりがなく根っこが破折するリスクがあるため、しなやかな弾性があるファイバーコアを、被せ物は強度と審美を兼ね備えたフルジルコニアを入れることになりました。
【処置内容】60分×4回
①古いセメントと虫歯を除去
②ファイバーコアで支台築造
③形成→印象→仮歯set
④フルジルコニアクラウンset
【担当医】Dr.北野
【処置費用】
ファイバーコア:¥25,300
フルジルコニアクラウン:¥110,000
合計 ¥135,300


