細かい着色を徹底除去!
みなさんこんにちは!歯科衛生士の高橋です!
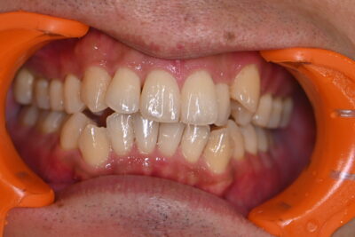
今回は全体的に着色が気になる方の症例です。
他の歯医者さんで以前からエアフローで着色を除去されてきた患者様ですが、前回してから半年期間が空いてしまったら再度着色が目立つようになったのこと💦
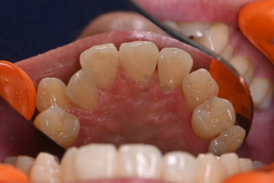
細かい着色をエアフローでしっかり除去して、仕上げにリナメル(歯の細かい傷を埋めてくれる)を塗布しました✨



場所によっては分厚い磨き残しがあり、そこに着色していた箇所もあったため歯磨き指導も一緒にさせていただきました。
どのくらいで再度着色が付いてしまうのか経過を追って適切なタイミングで再度エアフローを提案しようと思います!
○処置内容…歯科衛生士処置60分(エアフロー)
○費用…¥11,000
○担当…DH高橋


