Loading...

スタッフブログ Blog

神経保護処置🦷

みなさんこんにちは、歯科衛生士の舘山です😃

今回は右上7、MTAセメントの紹介になります。
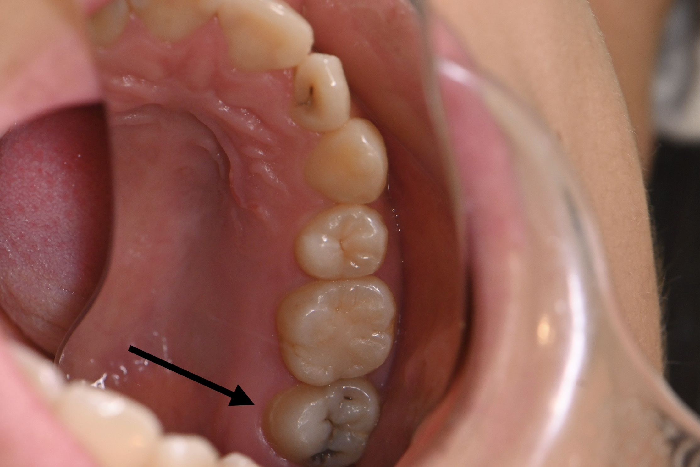
痛みがなく、症状もなく、大きく虫歯になっていました🦷

【処置前】

【処置動画】

【治療金額】
¥55,000/1回
※別途補綴代がかかります

【担当医】
DR北野

湘南ライフ歯科藤沢は、藤沢駅南口(鵠沼東)から徒歩3分のアクセス良好な歯科医院です。

24時間受付のネット予約制を導入しており、どんなお口の悩みもご相談いただけます。
急患対応も行っており、急なトラブルにも適切な治療を提供可能です。

診療メニューには、虫歯治療歯周病治療インプラント治療詰め物・被せ物入れ歯治療口腔外科予防歯科
メタルフリー治療、ホワイトニングなどがあります。

丁寧なカウンセリングを行い、保険診療から自由診療まで幅広く対応。
プライバシーや感染症対策を施した個室・半個室診療を提供し、安全で安心な治療を心掛けています。

藤沢周辺で歯医者をお探しの方は、ぜひお気軽にお問い合わせください。

お問合せ Contact

ご予約・お問合せはこちらまでお気軽に

  • 0466-53-8417