着色除去☕️
みなさんこんにちは!歯科衛生士の舘山です?
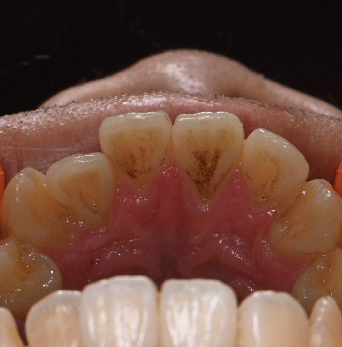
今回は矯正が終わり固定がついているところに着色が付着してしまった方と、コーヒーを高頻度で飲む方にエアフローをしきれいにさせて頂きました?✨
1.矯正後の固定ワイヤー部に着色がついてしまってる方


2.コーヒーを高頻度飲む方


エアフロー 30分
¥6,600
着色はエアフローで綺麗に落とせますが歯の黄ばみはエアフローで落とせないのでホワイトニングでご自身の歯を白くする形になります。
エアフローなのかホワイトニングなのかどちらが良いか迷われてる方は歯科衛生士の方までお尋ね下さい?