MTAセメントについて
こんにちは!歯科衛生士の林です?
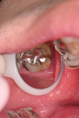
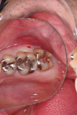
今回は右上の1番奥の歯をMTAセメント治療された方をご紹介します!
こちらの患者様は30代男性の方で奥歯が欠けてしまったと来院されました。
銀歯の下が虫歯でもろくなって欠けてしまったようです・・・
痛みなどの症状がなかったので、神経を極力残せる治療をご提案させていただきました。
保険適用外となりますので、1歯 ¥50,000(税別)となります。


◎MTAセメントとは?
通常、むし歯が歯髄に達すると、この歯髄を取る「抜髄」という処置がなされますが、歯髄を抜いた歯は「失活歯」という活動をしていない歯になってしまいます。数年後には治療が終わっていてもある日突然割れてしまうこともあります。また、生活反応を示さないため感染に弱く、二次カリエス(むし歯の再発)などにもなりやすくなってしまいます。このような場合は、歯を抜かなくてはいけない可能性が高くなってしまいます。
このように、失活した歯は7〜8年寿命が短くなると言われています。
しかし近年、この抜髄という処置になる可能性がある歯でも、残せる治療法が出来ました。それがMTAセメントを使った断髄という治療です。断髄とはむし歯が進行したところまでの組織を取り除き、MTAセメントによって蓋をすることにより、神経の生活反応を残したまま保存する方法です。もちろん、全てのケースに適応されるわけではありませんが、歯の神経を残す最後のチャンスとしての治療が可能となりました。
MTAセメントを使用しても歯の神経が死んでしまったり、歯根嚢胞ができることもあります。
しかし、今までの治療法より、効果的な結果が出ていることは証明されています。
MTAセメント治療が可能な目安としては、「自発痛」があるかどうかが一つのポイントととなってきます。自発痛とは、何もしていないときでもズキズキ痛むことです。自発痛が出始めると、むし歯が歯髄を侵食している可能性が高くなり、MTAによる治療が困難となります。
◎MTAセメントの特徴
・強い殺菌作用(アルカリ性)
・封鎖性に優れている(固まると膨張する)
・体に優しい生体親和性
・水分があっても固まる親水性
・良質なデンチンブリッジ(保護層)が形成される

動画にしましたのでよかったらご覧下さい?
(患者様によって治療の流れが多少変わることがございます。)