骨が足りない所に骨を作る方法
こんにちは!
歯科衛生士の吉村です⛄💙
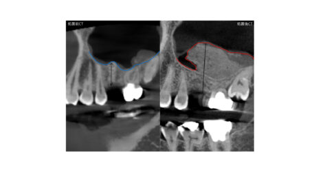
今回は、骨が薄くてインプラントを支える骨が足りない為に行うサイナスリフトという治療についてご説明致します。
この方は元々根の治療をされた所が悪くなり、根っこの先の膿の袋が大きくなり骨を壊して骨が足りず一度GBRという骨造成をした後に追加でサイナスリフトとい処置を行いました。
上あごの骨は元々薄く骨が溶けてしまうと更に薄くなってしまい、インプラントを支える骨の高さが無くなってしまいます。
骨の高さが無いとインプラントは出来ない為、先に骨を作る治療が必要になります。
【処置動画 外科処置の映像が出ます!!】
【処置費用】
サイナスリフト ¥330,000
※使用したサイズ&量の人工骨代+人工膜代も別途必要になります(使用サイズや使用量は状態によって異なります)
静脈内鎮静法 ¥110,000
【担当医・麻酔科医】
Dr小林
Dr川端

