Loading...

スタッフブログ Blog

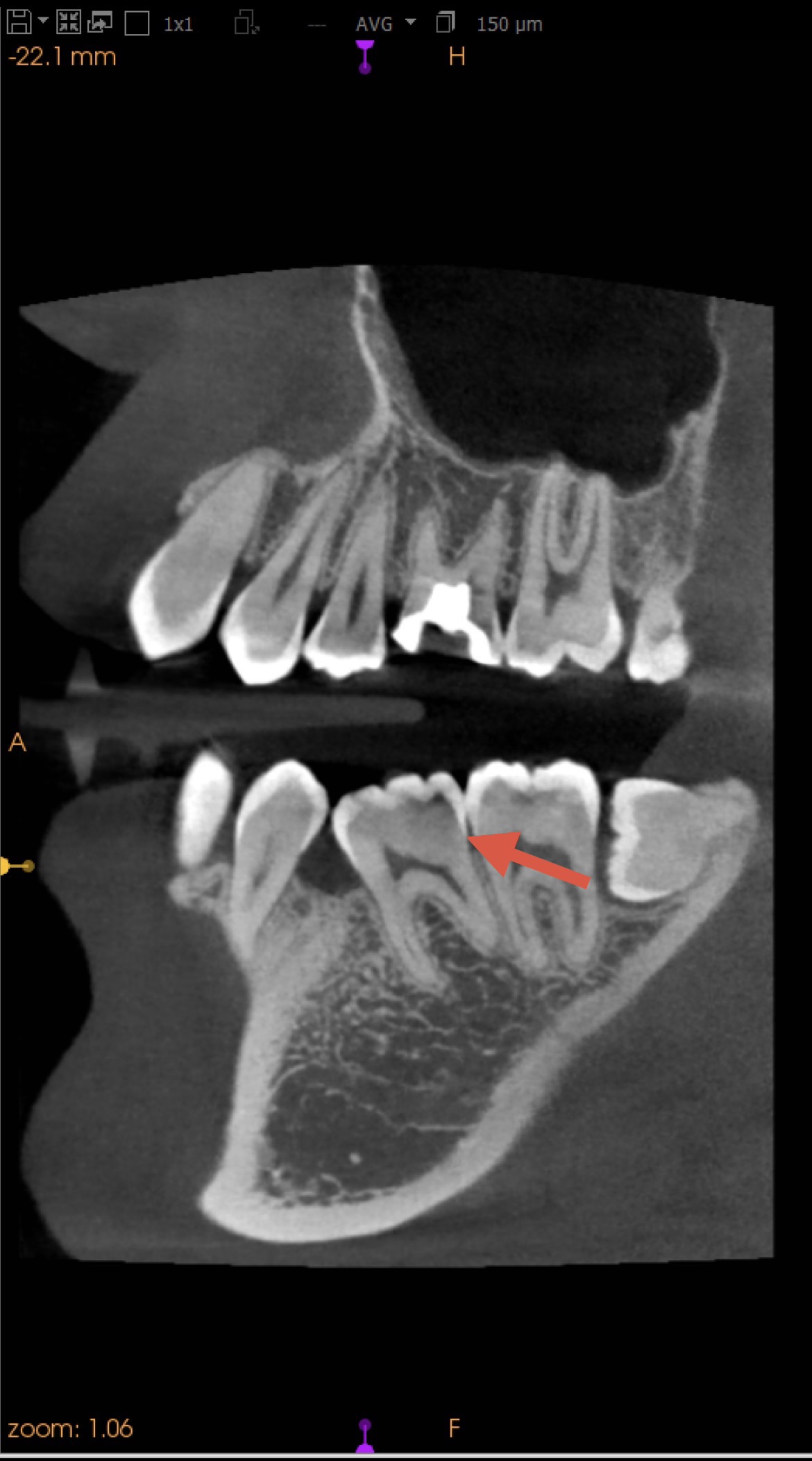
歯の神経保護処置🦷

みなさん、こんにちは!歯科衛生士の舘山です😃
今回はMTAセメント治療の症例になります🦷

【治療前】左下第一大臼歯

MTA詰める前→詰めた後

【処置動画】

 

担当医:DR北野
治療金額:MTAセメント ¥55,000

湘南ライフ歯科藤沢は、藤沢駅南口(鵠沼東)から徒歩3分のアクセス良好な歯科医院です。

24時間受付のネット予約制を導入しており、どんなお口の悩みもご相談いただけます。
急患対応も行っており、急なトラブルにも適切な治療を提供可能です。

診療メニューには、虫歯治療歯周病治療インプラント治療詰め物・被せ物入れ歯治療口腔外科予防歯科
メタルフリー治療、ホワイトニングなどがあります。

丁寧なカウンセリングを行い、保険診療から自由診療まで幅広く対応。
プライバシーや感染症対策を施した個室・半個室診療を提供し、安全で安心な治療を心掛けています。

藤沢周辺で歯医者をお探しの方は、ぜひお気軽にお問い合わせください。

お問合せ Contact

ご予約・お問合せはこちらまでお気軽に

  • 0466-53-8417