Loading...

スタッフブログ Blog

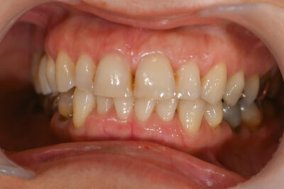
細かい汚れを徹底的にきれいに

みなさんこんにちは!歯科衛生士の高橋です!

普段綺麗にお手入れされている方でも、磨き残しがあり被せ物の縁などについて汚れを徹底的に除去して綺麗にした症例です。

 

綺麗に磨けてるように見えますが、プラークに反応する染め出し剤を塗ったところ歯と歯の間が染まって汚れが残っていることがわかります。

また右上にインプラントが入っていて、周囲も少し汚れが残っていました。

エアフローで歯や歯茎を傷つけることなく汚れを徹底的に除去をし、エアフロー後はツルツルの歯になりました!

 

◯処置内容…歯科衛生士処置30分

◯費用…¥6,600

◯担当…高橋

 

 

湘南ライフ歯科藤沢は、藤沢駅南口(鵠沼東)から徒歩3分のアクセス良好な歯科医院です。

24時間受付のネット予約制を導入しており、どんなお口の悩みもご相談いただけます。
急患対応も行っており、急なトラブルにも適切な治療を提供可能です。

診療メニューには、虫歯治療歯周病治療インプラント治療詰め物・被せ物入れ歯治療口腔外科予防歯科
メタルフリー治療、ホワイトニングなどがあります。

丁寧なカウンセリングを行い、保険診療から自由診療まで幅広く対応。
プライバシーや感染症対策を施した個室・半個室診療を提供し、安全で安心な治療を心掛けています。

藤沢周辺で歯医者をお探しの方は、ぜひお気軽にお問い合わせください。

お問合せ Contact

ご予約・お問合せはこちらまでお気軽に

  • 0466-53-8417