歯を白くしたい?✨
みなさんこんにちは、歯科衛生士の舘山です?
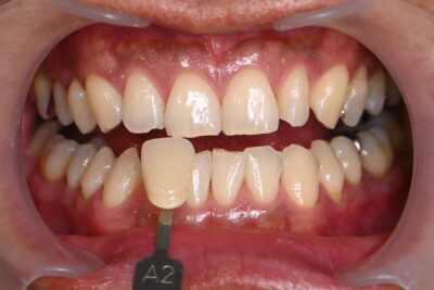
今回は定期的にホワイトニングをされる方のリピートでのオフィスホワイトニングの患者様になります。
↓↓オフィスホワイトニング手順↓↓
1、ブラシでの歯面清掃
2、ホワイトニング施術前の歯の色を確認します



3、マスクの装着
唇や粘膜に薬剤がつかないように、装着します
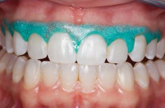
4、歯肉保護材塗布
歯肉に薬液が付かないように、専用のジェルを塗布後、光で硬め歯肉を保護します


5、ホワイトニング材塗布

6、ホワイトニング材除去
4〜7はさらに2回繰り返します
7、歯面の研磨
ホワイトニング専用ペーストを使用し歯面を磨いていきます
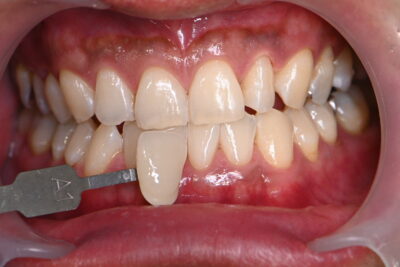
8、歯の色の確認


★オフィスホワイトニング後の注意事項★

オフィスホワイトニング
¥33,000