舌触りザラザラ⚡️
歯科衛生士の柴田です??
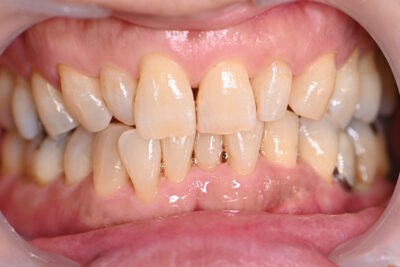
普段ほとんど見ることのない歯の裏側、実はこんなに汚れが付いています![]()
舌触りがザラザラする方は要注意です!
保険診療内で使用するブラシのみでは細かい隙間に届きにくい、エナメル質を傷つけるなどのデメリットもあります。
エアフローを使用するクリーニングでのツルツル感も味わっていただきたいです?
Before

After


歯科衛生士処置60分 ¥11,000-
歯科衛生士の柴田です??
普段ほとんど見ることのない歯の裏側、実はこんなに汚れが付いています![]()
舌触りがザラザラする方は要注意です!
保険診療内で使用するブラシのみでは細かい隙間に届きにくい、エナメル質を傷つけるなどのデメリットもあります。
エアフローを使用するクリーニングでのツルツル感も味わっていただきたいです?
Before

After


歯科衛生士処置60分 ¥11,000-
湘南ライフ歯科藤沢は、藤沢駅南口(鵠沼東)から徒歩3分のアクセス良好な歯科医院です。
24時間受付のネット予約制を導入しており、どんなお口の悩みもご相談いただけます。
急患対応も行っており、急なトラブルにも適切な治療を提供可能です。
診療メニューには、虫歯治療、歯周病治療、インプラント治療、詰め物・被せ物、入れ歯治療、口腔外科、予防歯科、
メタルフリー治療、ホワイトニングなどがあります。
丁寧なカウンセリングを行い、保険診療から自由診療まで幅広く対応。
プライバシーや感染症対策を施した個室・半個室診療を提供し、安全で安心な治療を心掛けています。
藤沢周辺で歯医者をお探しの方は、ぜひお気軽にお問い合わせください。