銀歯が取れたら真っ黒😵
歯科衛生士の柴田です👼💕
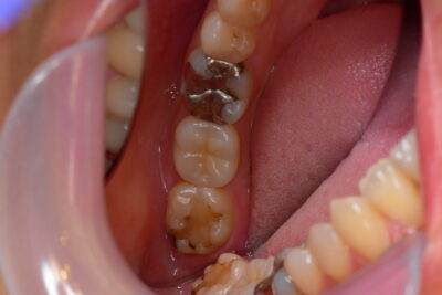
他院で治療した古い銀歯が取れてしまった患者さまの症例を紹介します!
右下7番。中がかなり黒くなっています。

⇩虫歯除去〜MTA〜土台〜仮歯装着


天然歯と見分けがつきませんね✨
MTA ¥55,000-
フルジルコニアクラウン ¥110,000-
担当医 東
歯科衛生士の柴田です👼💕
他院で治療した古い銀歯が取れてしまった患者さまの症例を紹介します!
右下7番。中がかなり黒くなっています。

⇩虫歯除去〜MTA〜土台〜仮歯装着


天然歯と見分けがつきませんね✨
MTA ¥55,000-
フルジルコニアクラウン ¥110,000-
担当医 東
湘南ライフ歯科藤沢は、藤沢駅南口(鵠沼東)から徒歩3分のアクセス良好な歯科医院です。
24時間受付のネット予約制を導入しており、どんなお口の悩みもご相談いただけます。
急患対応も行っており、急なトラブルにも適切な治療を提供可能です。
診療メニューには、虫歯治療、歯周病治療、インプラント治療、詰め物・被せ物、入れ歯治療、口腔外科、予防歯科、
メタルフリー治療、ホワイトニングなどがあります。
丁寧なカウンセリングを行い、保険診療から自由診療まで幅広く対応。
プライバシーや感染症対策を施した個室・半個室診療を提供し、安全で安心な治療を心掛けています。
藤沢周辺で歯医者をお探しの方は、ぜひお気軽にお問い合わせください。