インプラントのメインテナンス✨
歯科衛生士の柴田です?
インプラントやセラミック治療が多く施されている患者さまのメインテナンスとして、エアフローを行いました✨
セラミックやインプラントは繊細なので、超音波の強い振動で色が変色してしまったり、ネジが緩んでしまうこともある為、パウダーで傷つけることなくクリーニングをすることが推奨されています( ◠‿◠ )
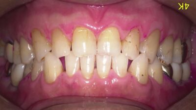
Before
かなり磨きの技術は高いものの、詰め物や被せ物の縁が赤く染まります。

XERAIMAGE.bmp

⇩⇩⇩⇩⇩⇩⇩⇩⇩⇩⇩⇩⇩⇩⇩⇩⇩⇩⇩⇩⇩⇩⇩⇩⇩
After

XERAIMAGE.bmp

XERAIMAGE.bmp
歯科衛生士処置60分 ¥11,000-