└4MTA
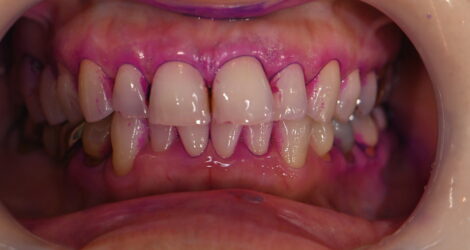
こんにちは歯科助手の身売りです!
今回はMTAセメントの症例をご紹介します?
☆40代男性
☆クリーニングで虫歯が見つかり処置
☆左上4

治療の動画↓
?MTAセメント?
・マイクロ下で処置、動画も撮影
・処置時間1時間
・¥55,000
(詰め物・被せ物の費用が別途かかります。)
【担当医】北野 展久
こんにちは歯科助手の身売りです!
今回はMTAセメントの症例をご紹介します?
☆40代男性
☆クリーニングで虫歯が見つかり処置
☆左上4

治療の動画↓
?MTAセメント?
・マイクロ下で処置、動画も撮影
・処置時間1時間
・¥55,000
(詰め物・被せ物の費用が別途かかります。)
【担当医】北野 展久
湘南ライフ歯科藤沢は、藤沢駅南口(鵠沼東)から徒歩3分のアクセス良好な歯科医院です。
24時間受付のネット予約制を導入しており、どんなお口の悩みもご相談いただけます。
急患対応も行っており、急なトラブルにも適切な治療を提供可能です。
診療メニューには、虫歯治療、歯周病治療、インプラント治療、詰め物・被せ物、入れ歯治療、口腔外科、予防歯科、
メタルフリー治療、ホワイトニングなどがあります。
丁寧なカウンセリングを行い、保険診療から自由診療まで幅広く対応。
プライバシーや感染症対策を施した個室・半個室診療を提供し、安全で安心な治療を心掛けています。
藤沢周辺で歯医者をお探しの方は、ぜひお気軽にお問い合わせください。