MTAとフルジルコニア
歯科衛生士の八重樫です!
今回は銀歯が取れて来院、MTAとフルジルコニアで治療したケースのご紹介です?
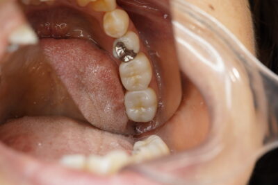
こちらが来院された時のお写真になります?

左下の奥から2番目の銀歯が取れてしまっていました
またお隣の1番奥の歯も同じ時期に治したそうで、よく見ると金属の下が虫歯になってしまっていたため、そこも外して一緒に治療することとなりました
もともと入っていた金属が大きかったのとその下が虫歯だったため、虫歯を取っていくと神経が中から出てきてしまいました
治療法をご説明させていただきしっかり神経を残して治したい!とのご希望があったので、今回MTAとフルジルコニアで修復となりました
処置後と被せ物のお写真になります?


違和感なく満足して使っていただけています✨
治療動画もご覧ください?
次回は前回からかなり期間が空いてしまっていたため、全体的なクリーニングとCheckの予定です
〇50代女性 担当医:Dr.小林 技工物:プロミネント