金属の土台を除去し、ファイバーコアへ

TC前田です🐰💕
今回は金属の土台(メタルコア)を除去し、ファイバーコアを築造した患者様の症例のご紹介です。


こちらの患者様は何年も前に入れた前歯の被せ物のレジンが欠けてご来院されました。
欠けた箇所のプラスチック修復を何度か繰り返していましたが頻繁に外れてしまうこともあり、新しい被せ物での修復を希望されました。
元々前歯は保険内での神経の治療と土台、被せ物での処置がされていましたが、今回は保険外の被せ物で審美的に綺麗に治したいというご希望がありました。
その為、中の土台を外して根管治療から修復させていただくことになりました。

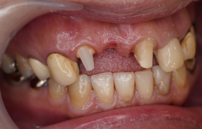
※①②③のメタルコアを外して、ファイバーコアを築造していきます

こちらが②の歯の金属の土台を外して、ファイバーコアを築造したところのお写真です。
※ブログ記事1番上の画像が③の歯の画像になります。
・色が白いのでかぶせ物をした時に透明感が出てきれい。
・歯ぐきや歯の根っこが黒ずむことがない。
・硬さが歯の根っこに近く、しなる性質があるので根っこが割れる可能性が大幅に下がる。
・金属アレルギーがない。
【デメリット】
・歯の根の残ってる量(長さ)が少ない(短い)時はできない。
・費用がかかる。
【メリット】
・歯の根っことの接着力が強い。
・費用が安い。
【デメリット】
・銀が含まれているので、周りの歯ぐきや歯の根っこが黒ずむことが多い。
・歯の根っこに負担をかけるので、根が割れる可能性が上がる。(歯根破折)
深いメタルコアや硬い素材のメアルコアを安全に外そうとする場合は治療の難易度が高くなります。
また、歯を傷つけないように削る為、治療の際マイクロスコープは必須です。

こちらがフルジルコニアクラウンを前歯にセットしたお写真です。
【担当医】小林 浩
【治療期間】約4ヶ月
【費用】
感染根管治療(3根管) ¥198,000
ファイバーコア(直接法)3本 ¥75,900
フルジルコニアクラウン5本 ¥550,000
TOTAL ¥823,900
TC前田🐰💕