オフィスホワイトニング③
歯科衛生士の八重樫です!
今回はオフィスホワイトニングのご紹介です✨
もともと前歯1本を治療途中で、被せ物を作製する前に他の前歯を白くしたいとのことで今回ホワイトニング行いました?
前歯に被せ物をする際は先にホワイトニングをしてからでないと色が合わなくなってしまいます
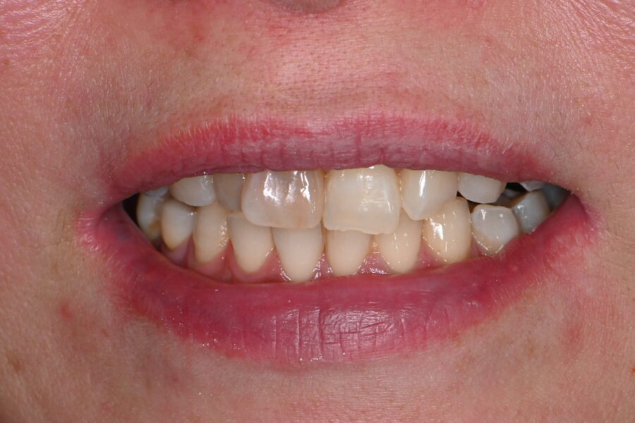
処置前のお写真です?




ホワイトニング前の色(シェード)は前歯がA2で犬歯がA3でした
処置中のお写真です

このように歯の表面に薬剤を塗って歯の色を抜いていきます
ホワイトニングの流れは、処置前の写真撮影→表面を磨く→薬剤塗布→15分おく→薬剤拭う→薬剤塗布…、を3回繰り返し最後に再度表面を磨いて処置後の写真で終わりで、時間は1時間半くらいになります
処置後のお写真がこちらです?




前歯がA1、犬歯がA2と一段階白くなりました✨
シェードガイドというものを使って歯の白さを判断するのですが、A1が1番白い色になります
ホワイトニングは1回で白くなる方もいれば何回か繰り返して少しずつ白くなる方もいます
個人差があるので1度ホワイトニングしてみないとどちらかはわかりません
また白さを維持するには定期的なホワイトニングが必要となります
この患者さまは満足していらっしゃいましたが、もう少し白くするか考えます!とのことでした?
ホワイトニングはオフィスとホームの2種類があります?
少しでも気になっている方はお気軽にご相談ください☺️?
〇40代女性 担当:DH八重樫