GBT
歯科衛生士の八重樫です!
今回は逗子院で行ったGBTのご紹介です![]()
治療がすべて終わり最後にプロフィラキシスマスターという器械を使用して徹底的にクリーニングを行いました![]()
プラークを赤く染めだして汚れを可視化し、エアフローというパウダーを吹き付ける特殊な方法で綺麗にしました

染めだし後のお写真です





もともとクリーニング状態は良好で歯石は付いていませんでしたが、このように染めだすとところどころプラークと言われる見ただけではわからない汚れが見られました
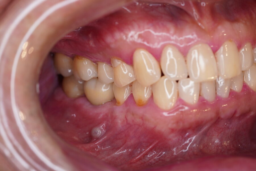
クリーニング後のお写真です![]()

プラークが付いていたところからは少し出血が見られましたが、ほぼしませんでした
今の状態が維持できれば悪くなることは基本的にはないため、定期的な検診とクリーニングをお勧めさせていただきました![]()
次回は3か月後にCheckし、メンテナンスの期間を決めていく予定です![]()