Loading...

スタッフブログ Blog

スタッフブログ一覧

サイナスリフトを行いImplant Br.

歯科衛生士の八重樫です! 今回は左上臼歯部にサイナスリフトを行いImplantを埋入しImplant Br.を入れたケースのご紹介です💡   もともと左上の被せ物が取れてしまい来院されました 取れてしまったのは小臼歯、その奥2本の大臼歯は根尖性歯周炎があり、分析を行なった結果、歯を保存しての治療は難しく抜歯となってしまいました …

詳しくはこちら

神経保護処置🦷

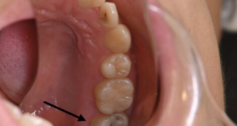
みなさんこんにちは、歯科衛生士の舘山です😃 今回は右上7、MTAセメントの紹介になります。 痛みがなく、症状もなく、大きく虫歯になっていました🦷 【処置前】 【処置動画】 https://youtu.be/gi7KGqB-ijA 【治療金額】 ¥55,000/1回 ※別途補綴代がかかります 【担当医】 DR北野

詳しくはこちら

バイオフィルムと歯周病菌の除去

こんにちは! 歯科衛生士の吉村です💙⛄ 今回は、清掃不良の患者様へバイオフィルムと歯周病菌を除去する為に、行ったパウダーフローとレーザー治療についてご説明します。 この細菌たちが作り出すのが。。。 バイオフィルムを除去できるのは? [video width="1920" height="1080" mp4="https://www.sh …

詳しくはこちら

湘南ライフ歯科藤沢は、藤沢駅南口(鵠沼東)から徒歩3分のアクセス良好な歯科医院です。

24時間受付のネット予約制を導入しており、どんなお口の悩みもご相談いただけます。
急患対応も行っており、急なトラブルにも適切な治療を提供可能です。

診療メニューには、虫歯治療歯周病治療インプラント治療詰め物・被せ物入れ歯治療口腔外科予防歯科
メタルフリー治療、ホワイトニングなどがあります。

丁寧なカウンセリングを行い、保険診療から自由診療まで幅広く対応。
プライバシーや感染症対策を施した個室・半個室診療を提供し、安全で安心な治療を心掛けています。

藤沢周辺で歯医者をお探しの方は、ぜひお気軽にお問い合わせください。

お問合せ Contact

ご予約・お問合せはこちらまでお気軽に

  • 0466-53-8417